Archive for 10月, 2017
よくある質問Q&A 子供の矯正治療(8)
前回に引き続きこどもの矯正治療に関するQ&Aです。
Q13. 永久歯が変な方向に生えてきました。歯がいつまでたっても生えてきません。
乳歯から永久歯への生え変わりの時期に、永久歯の生えてくる方向に異常があることがあります(異所萌出)。そのまま経過を観察するしかない場合が多いのですが、一部のケースではすぐに治療をした方がいいことがあります。

図1 小臼歯の異所萌出

図2 多数の永久歯にも位置異常あり
この症例では、犬歯(オレンジ矢印)が生えるべき場所に第一小臼歯(黄色の○)が生えてきています。レントゲンで確認すると、現状ではどうすることもできないため、そのまま経過観察をするという判断になりました。反対側の犬歯(オレンジ矢印)の位置にも問題があります。(図1、2)
下の症例は他の歯科医院から依頼をうけたものですが、乳歯の後ろに生えるはずの6歳臼歯が乳歯に引っかかって出てこれない状態です(図3)

図3 初診時口腔内

図4 初診時レントゲン写真
レントゲンを見ると、左右共に6歳臼歯に押された乳歯が溶け始めています(吸収)。このままでは手前の乳歯が抜けて6歳臼歯が前に行き過ぎてしまうため、将来的に出てくる2本の小臼歯が生える場所がなくなってしまいます(図4)。

図5 装置装着時
上図のような装置を装着して、できるだけ早く6歳臼歯を後ろに動かす必要がありました(図5、6)。
その後他の装置も使用し、ある程度歯並びを整えて生え変わりの経過を観ていくと、何とか他の永久歯も生えてきました(図7)。

図6 3か月後

図7 装置を付けてから2年半後
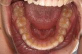
乳歯がすべて抜けて永久歯に生え変わると、通常6歳臼歯の後ろから第2大臼歯という永久歯が生えてきます。大体小学校6年生〜中学生のうちに生えてきますが、なかなか生えてこれない場合があります。次の症例も、他の歯科医院から依頼を受けたものですが、前回説明した埋伏歯の症例でもあります(図9〜15)。かなり苦労してなんとか引っ張り出すことができましたが、ここまで歯の方向が悪く、深い場所にあると牽引できない可能性もありました。
お子さんの場合、異所萌出は、わかっていてもすぐに治療ができず、長期間経過観察が必要になることが多くあります。

図8 初診時下の歯並び

図9 初診時のレントゲン:埋伏歯は内側を向いており親知らずが上にあるためこのままでは牽引できない

図10 外科処置により親知らずの抜歯と牽引用のボタンを付与

図11 埋伏歯を牽引中

図12 口腔内写真:埋まっている歯の向きが悪いうえに、上の歯とのかみ合わせに問題があったため、かなり困難な牽引を行った。
