Archive for 1月, 2010
不正咬合の種類について(10)
矯正治療をもっと知りたい vol.11
不正咬合の種類について 交叉咬合・埋伏歯

N:私自身、あまり自分の歯の本数を気にしたことがありませんが、気付かないという方もいらっしゃるのではないですか?
K:子供のパノラマレントゲンを取ることはほとんど無いので、見落としてしまっている場合があるのでしょう。
N:なるほど、そういうこともあるのですね。なかなか永久歯が生えてこなくて心配なら、矯正歯科の先生に診てもらったほうが安心ですね。
これまで5回に分けていろいろな不正咬合について伺ってきましたが、これ以外にも種類がありますか?
K:そうですね、交差咬合に似ているのでが、上下の歯がすれ違いに噛んでいる鋏状咬合とか、叢生とは逆に歯の大きさに比べてアゴが大きいために起こる空隙歯列や正中離開、いわゆる「すきっぱ」などがあります。
N:不正咬合といってもほんとにいろいろな種類があるんですね。清村先生、今回もありがとうございました。
K:ありがとうございました。
矯正治療のご相談は、埼玉県川口市の清村矯正歯科まで
不正咬合の種類について(9)
矯正治療をもっと知りたい vol.10
不正咬合の種類について 交叉咬合・埋伏歯



N:さて、もうひとつの「埋伏歯」についても教えて頂けますか?
K:はい。埋伏歯とは、歯が歯茎(又は骨)の中に埋まってしまっている状態のことです。皆さんが良くご存知な「親知らず」が最も埋伏歯になりやすい歯になります。
昔に比べてアゴが小さくなってきた現代人は、最後に生えてくる第3大臼歯の生えるスペースが足りなくて、多くの人が大人になって、抜かなくてはならないわけですが、矯正治療が必要になるのは親知らず以外の歯が埋伏してしまうケースですね。
原因は様々ですし、わからないこともあります。たとえば永久歯がまだアゴの中にあるときに、顔や口をぶつけてしまったことによる衝撃が原因だったり、乳歯がむし歯になって早く抜けてしまった結果、隣の歯が動いて本来生える永久歯のスペースがなくなったことが原因になったりします。
N:埋伏している場合、どのような治療を行うのですか?
K:ほとんどの場合、埋伏歯が生えてくるスペースがありませんので、まず、アゴの骨を広げたり、他の歯を動かしたりして埋伏歯が出てくるスペースを作ります。そして、その歯を引っ張り出すための装置を周りの歯やアゴに装着して、外科的な処置で埋伏歯に金具を付けてその装置から牽引していきます。
矯正治療のご相談は、埼玉県川口市の清村矯正歯科まで
不正咬合の種類について(8)
矯正治療をもっと知りたい vol.9
不正咬合の種類について 交叉咬合・埋伏歯
みなさん。こんちには!株式会社Value Linkの野々村太郎です。
前号までは、前後や上下のズレという分け方で、不正咬合について清村先生にお伺いしましたが、今回はそれ以外の不正咬合について聞いてみたいと思います。
野々村(以下N)、 清村先生(以下K)
N:これまでに説明していただいた不正咬合以外に、どのような種類があるのですか?
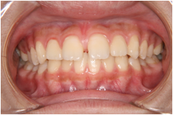
K:はい。代表的なものに「交叉咬合」と「埋伏歯」と呼ばれるものがあります。まず、「交叉咬合」とは、噛み合わせが左右にずれていて、下の奥歯が上の奥歯の外側にある状態です。(図1)

N:左は下の歯が外(頬)側に出ているのに、右は上の歯が外(頬)側に出ていて、雑巾を絞ったように左右の歯がねじれているようですね。何となく素人目にも健康状良くないというのは分かりますが、どのようなことを引き起こすのですか?
K:本来、左右の歯は同じように咬まなければいけませんが、左右違う位置で咬んでいるので、特定の歯や関節に負荷がかかります。その状態が続けば、片方の歯やアゴの
関節が磨り減り、だんだんアゴがずれてきて顔が歪んでしまいます。
N:なるほど。交叉咬合になる原因は、やはり遺伝によるものですか?
K:もともと骨格的に上下の幅が合っていないという遺伝的な原因の場合もありますが、後天的に発生する場合のほうが多いように思います。
例えば、右側の奥歯が虫歯になると、右を避けて左でばかり咬もうとしますね。これを何年も続けていると、その咬み合せにあわせてアゴが成長していくのでアゴは左にずれていきます。
また、普段の姿勢や寝ているとき態勢、頬杖などの癖によって交叉咬合になることもあります。
N:頬杖が原因で顎が曲がってしまうこともあるのですね!?(驚)
では、治療はどうやって行いますか?
K:大人の場合は、歯の移動だけではアゴの変形は治せませんので手術が必要になります。
子供の場合は、成長によって症状が悪化するのを予防するの第一ですので、原因を除去することが重要です。
先述のように、頬杖が原因なら、頬杖の癖を止めさせることが一番です、次に、上アゴを拡大するなどして、正しく噛めるように上下のアゴの幅を合わせていきます。
N:癖を取るのも矯正治の一環なのですね。そして、症状がひどくなって将来手術にならないように、子供のうちに治療に取り掛かるべきですね。
矯正治療のご相談は、埼玉県川口市の清村矯正歯科まで
