Archive for 7月, 2017
よくある質問Q&A 子供の矯正治療(7)
前回のつづきで、これまでに初診相談やメール相談でよく質問されたことについてお答えします。
Q12もともと歯の本数が足りないといわれました。余分な歯があるといわれました。形のおかしい歯が生えてきました。歯並びにどんな影響がありますか?
乳歯は全部で20本(上10・下10)永久歯は全部で32本(上16・下16そのうち第三大臼歯いわゆる「親知らず」と呼ばれる歯が4本)あります。
乳歯や永久歯の本数がもともと少ない人がときどきいらっしゃます。足りない歯のことを「先天欠如歯」といいますが、2010年の小児歯科学会の調査結果では1歯以上の先天欠如歯がある人の割合は約10%、10人に一人の割合で歯の本数が元々足りない人がいる計算になっています。
先天欠如歯で最も多いのは下顎の第2小臼歯(6歳臼歯の前の歯)です(図1)。

図1:下顎第2小臼歯の両側性先天欠如
乳歯の後から生えてくる永久歯がない
次に多いのが下の前歯、他には上顎第2小臼歯、上顎の側切歯(犬歯の隣の前歯)に多くみられます(図2)。

図2:右側切歯の先天欠如 中切歯と犬歯の間にあるはずの歯がない。
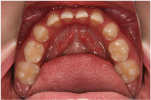
歯の本数が足りないと見た目がおしくなるだけでなく、かみ合わせに大きな影響が出ます。(図3、4)

図3:下顎前歯2本の先天欠如、歯が正しく生えても大きな隙間ができる。

図4:上下第2小臼歯4本の先天欠如、隙間があるため歯がねじれて生えて、奥から横にかけて上下の歯がかみ合っていない。下は乳歯が残っている。

歯の数が足りないのと逆に、余分な歯がある場合もあります。これは「過剰歯」といいます。上の前歯の付近によく見られますが、生えてくるまで気づかないことが多く、また、過剰歯があるために正常な歯が生えてこないことがよくあるため、たまたま撮影したレントゲンによって発見されることではじめて気づくことが多く知らないうちに歯並びや隣の歯に影響が出ます。(図5、6、7)

図5:上の前歯の間にある過剰歯

図6:下の小臼歯の過剰歯

図7:過剰歯(抜歯済み)が原因でねじれてしまった前歯
過剰歯はそのままにしていても問題ない場合は抜きませんが、他の歯に影響がある場合や、矯正治療による歯の移動の邪魔な場合はすぐに抜く必要があります。
通常の歯の形と異なる歯(形態異常歯)が生えてくる人が時々いらっしゃいます。巨大歯、矮小歯(図8)、癒合歯(図9)、癒着歯などの種類があり、これらの歯は、見た目が悪くなるだけでなく、全体的な歯並びやかみ合わせにも影響を与えます。

図8a:右側切歯の矮小歯

図8b:左側切歯に比べて小さく筒のような形をしている
通常の歯科治療では、先天欠如歯がある場合は、その部分を人工的な歯(入れ歯やインプラントなど)で補い、矮小歯や形態異常歯は抜歯や歯を削って差し歯などにして対応しますが、矯正治療では症状により色々ですが、足りない部分を他の歯で代用したり、余った隙間を歯の移動で埋めることで対応することができます。

図9a:左側切歯の癒合歯

図9b:二つの歯がくっついたような形をしている
歯の数、歯の形に異常がある場合、多くのケースで永久歯がすべて生えそろった後も治療(矯正治療と一般歯科治療)が必要になりますが、子供のうちにそのまま放置すると以後の治療が難しくなることもあるため、異常に気づいた場合は、早めに矯正専門医にご相談下さい。
