清村矯正歯科

清村矯正歯科のブログでは、矯正歯科治療の疑問や症例について解説しています。

よくある質問Q&A 子供の矯正治療(1)

without comments

新年明けましておめでとうございます。年末年始はいかがお過ごしだったでしょうか?
今回から、初診相談やメール相談などで皆様からよく質問されることについてお答えしていくQ&Aを始めたいと思います。
初めは子供の矯正治療についてです。
Q1.いつから(何歳から)治療をはじめればいいですか?
子供の矯正治療は、上下の顎の骨のバランスや大きさを整えて、将来永久歯がきちんと生える準備をする治療で、乳歯から永久歯に生えかわる混合歯列期に行います。ただ、治療をはじめるタイミングは、歯並びの状態によって違います。反対咬合(図?)の場合、状態にもよりますが、前歯が生えてくるまで待っていると、治すのが難しくなるケースがあります。また、乳歯列期(乳歯だけの歯並び)でも、割と簡単な装置で改善することができるため、3〜6歳ぐらいでも治療を開始することがあります。一方で叢生(図?)の場合は、子供の矯正治療では顎を拡大することで、将来生えてくる永久歯のスペースを確保する治療を行うので、前歯が永久歯に生え変わるころのほうが、装置も作りやすく、また、どの程度顎を広げればよいかも予測しやすいため、7〜10歳ぐらいが治療開始時期としては適しています。
●小児矯正、治療開始時期は?
また、図?のように不正咬合が1つではなく複数見られる場合もあるため、「何歳から始めればよい」という判断は簡単ではありません。
さらに、治療はすぐに必要でも、お子さんが装置を使えるかどうかということも、治療開始時期に影響します。
相談者の方から「他の歯医者さんでは
すぐ始めたほうが良いと言われた又は、永久歯が生
えるまで待つように言われた」ということをよく耳
にします。これは治療開始の判断がそれだけいろい
ろな要素を総合的に判断して決めなければならない
ため、担当医の経験や考え方によっても異なってく
るからなのです。
●小児矯正の内容は?
Q1.子供の矯正治療ではどのような治療をしますか?
子供と大人(高校生以上)の矯正治療の主な違いは(1)永久歯がすべて生えているかどうか?(2)顎の骨の成長があるかどうか?の2点です。子供の場合、全ての永久歯が生えているわけではないので、全ての歯をきれいに並べることができません。また、成長中のため歯並び自体も変化していきます。したがってこの時期は、細かな歯並びよりも全体的なかみ合わせや、顎の位置関係の不正を治す治療を第一の目的として治療を行います。
永久歯がすべて生えそろった中学生以上のお子さんや成人ではマルチブラケット装置(図?)を使って、ひとつひとつの歯をきれいに並べる治療を行いますが、乳歯も永久歯も生えている混合歯列期には、症状によって様々な装置を使用します。
下顎の発育が悪い上顎前突(出っ歯)の人は下顎の発育をよくする装置(ヘッドギアー、バイオネーター図?)などを使用し、逆に下顎の発育が良すぎる人は、上顎前方牽引装置などを使用します。永久歯がまだ生えていない、乳歯の反対咬合ではムーシールド(図?)を使用して下顎を前に出して咬む癖を治します。
また、将来的に永久歯が生えるスペースが足りないと思われる人には、顎を左右に広げる拡大装置(図?)を使用します。

新年明けましておめでとうございます。年末年始はいかがお過ごしだったでしょうか?
今回から、初診相談やメール相談などで皆様からよく質問されることについてお答えしていくQ&Aを始めたいと思います。初めは子供の矯正治療についてです。

Q1.いつから(何歳から)治療をはじめればいいですか?

子供の矯正治療は、上下の顎の骨のバランスや大きさを整えて、将来永久歯がきちんと生える準備をする治療で、乳歯から永久歯に生えかわる混合歯列期に行います。
ただ、治療をはじめるタイミングは、歯並びの状態によって違います。
反対咬合(図1)の場合、状態にもよりますが、前歯が生えてくるまで待っていると、治すのが難しくなるケースがあります。
また、乳歯列期(乳歯だけの歯並び)でも、割と簡単な装置で改善することができるため、3〜6歳ぐらいでも治療を開始することがあります。
一方で叢生(図2)の場合は、子供の矯正治療では顎を拡大することで、将来生えてくる永久歯のスペースを確保する治療を行うので、前歯が永久歯に生え変わるころのほうが、装置も作りやすく、また、どの程度顎を広げればよいかも予測しやすいため、7〜10歳ぐらいが治療開始時期としては適しています。

●小児矯正、治療開始時期は?

001
図1 反対咬合(乳歯列)

002
図2 叢生(混合歯列)

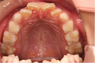
また、図3のように不正咬合が1つではなく複数見られる場合もあるため、「何歳から始めればよい」という判断は簡単ではありません。
003
図3 反対咬合と叢生(永久歯列)

さらに、治療はすぐに必要でも、お子さんが装置を使えるかどうかということも、治療開始時期に影響します。
相談者の方から「他の歯医者さんではすぐ始めたほうが良いと言われた又は、永久歯が生えるまで待つように言われた」ということをよく耳にします。
これは治療開始の判断がそれだけいろいろな要素を総合的に判断して決めなければならないため、担当医の経験や考え方によっても異なってくるからなのです。

●小児矯正の内容は?

Q1.子供の矯正治療ではどのような治療をしますか?

子供と大人(高校生以上)の矯正治療の主な違いは
(1)永久歯がすべて生えているかどうか?
(2)顎の骨の成長があるかどうか?の2点です。
子供の場合、全ての永久歯が生えているわけではないので、全ての歯をきれいに並べることができません。また、成長中のため歯並び自体も変化していきます。したがってこの時期は、細かな歯並びよりも全体的なかみ合わせや、顎の位置関係の不正を治す治療を第一の目的として治療を行います。
永久歯がすべて生えそろった中学生以上のお子さんや成人ではマルチブラケット装置(図4)を使って、ひとつひとつの歯をきれいに並べる治療を行いますが、乳歯も永久歯も生えている混合歯列期には、症状によって様々な装置を使用します。
004
図4 マルチブラケット装置


005
図4 バイオネーター

006
図5 ムーシールド
下顎の発育が悪い上顎前突(出っ歯)の人は下顎の発育をよくする装置(ヘッドギアー、バイオネーター図?)などを使用し、逆に下顎の発育が良すぎる人は、上顎前方牽引装置などを使用します。永久歯がまだ生えていない、乳歯の反対咬合ではムーシールド(図5)を使用して下顎を前に出して咬む癖を治します。
また、将来的に永久歯が生えるスペースが足りないと思われる人には、顎を左右に広げる拡大装置(図6)を使用します。
007
図6 拡大装置(可撤式)


ご覧になりたい方はこちら

Written by kiyomura

1月 12th, 2016 at 12:42 pm