不正咬合の種類(5)過蓋咬合
今回は過蓋咬合について、Q&A形式で説明していきます。
Q:過蓋咬合(かがいこうごう)とは、どのような歯並びの状態のことでしょうか?
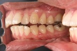
下の前歯がほとんど見えない位に上の前歯がかぶさっている状態のことです。正常な状態では奥歯で噛んだ時に、下の前歯が上の前歯の裏側に軽く触れていますが、過蓋咬合では下の前歯の切端は、歯ではなく上の前歯の内側の歯茎を噛んでいることもあります。
歯の大きさや傾斜角にもよりますが、上の前歯と舌の前歯の重なり(オーバーバイト)は2~4ミリが正常値ですので、それより大きいと過蓋咬合に分類されます(図1,2、3、4、5)。

図1過蓋咬合(前から)

図2過蓋咬合(横から)
又、上の前歯が内側に倒れていなくても図3,4のように前に傾斜していたり、図5のように反対咬合になっていても上下の歯の重なりが大きいと過蓋咬合と呼ばれます。

図3過蓋咬合の上顎前突(前)

図4過蓋咬合の上顎前突(横)

図5過蓋咬合の反対咬合
Q:過蓋咬合をそのままにしておくとどのような弊害がありますか?
見た目はそれほどおかしいとは感じないかもしれませんが、下顎の前後左右の動きが阻害されるため、顎の関節に影響が出やすく、下顎の前方への成長も抑制されます。又、下顎の前歯が磨り減ったり、上顎の前歯に強く当たることで出っ歯になることがあります。
Q:どのような治療方法がありますか?
前回の開咬の話の時にも説明しましたが、過蓋咬合の原因も骨格や筋肉など、遺伝的な要素が強く(図6)、成長がある場合はできるだけ骨格的な問題を改善する装置(ヘッドギアやバイオネーターなど)で治療を行います(図7、8)。又、ユーティリティーアーチ(図9)を使用して上の前歯を鼻の方向に押し込むような力(圧下)をかけて深い噛み合わせを治します。

図6過蓋咬合になりやすい骨格(反時計回りに成長しやすい)

図7ヘッドギア 上顎臼歯の遠心移動と挺出による咬合挙上を期待する。
成長が終了している場合はマルチブラケット装置で治療を行いますが、基本的に小臼歯の抜歯を行うと噛み合わせが深くなりやすいため、できるだけ抜かずに治す方法を選択します。
特に下の歯は抜きたくないためデコボコがたくさんあっても何とか抜かずに済むように工夫します。例えば先ほど説明したヘッドギアは奥歯を後ろに移動させることができるため、噛み合わせが深くなりにくくなりますし、側方に歯列を拡大することでも噛み合わせは多少浅くなるのでマルチブラケット装置と併用することもあります。

図8バイオネーター 臼歯部側方歯部の挺出を促す

図9ユーティリティーアーチ 前歯部と臼歯部にのみブラケットが装着されている。

図10 症例1正面
症例1。犬歯の根元が露出しているため上顎左右の犬歯を抜歯して治療しました。下の前歯は上の歯と強くぶつかっているため初めはブラケットがつけられません(図12)。
下の歯は抜歯していません。治療前は見えなかった下顎の前歯が見えています(図13,14)。
Q:過蓋咬合を予防するにはどうすればいいですか?
過蓋咬合、骨格や咬合力(嚙む力)に影響を受けます。一般的には6歳臼歯の後ろから第2大臼歯が生えてくることで噛み合わせが少し浅くなるのですが、過蓋咬合になりやすい骨格の方はこの時期になっても噛み合わせは深いままです。このような骨格の方は永久歯がすべて生え変わる少し前から奥歯を後ろに移動したり、側方に拡大するなどの治療を始めることで、ある程度過蓋咬合の悪化を防ぐことができます。(図15,16,17,18)
図14 症例1(治療後横)
噛む力が強すぎることが原因の不正咬合

図15 混合歯列期の過蓋咬合

図16 横から見たところ、上顎前突の症状もある

図17 ヘッドギア使用後

図18 永久歯の生え変わりと奥歯が後ろに移動したことで過蓋咬合がある程度改善している。
Q:過蓋咬合の治療の開始時期はいつがいいでしょうか?
成長に個人差があるため一概には言えませんが、男児なら小学校高学年ごろから、女児は中学年ごろから。横の歯が生え変わり成長が始まる少し前に治療を始めるといいと思います。
不正咬合の種類(4)開咬
Q1:開咬とはどのような不正咬合ですか?
「オープンバイト」とも言いますが、歯をかみ合わせた時に上下の前歯の間にすき間ができて、奥歯でしか物が噛めない不正咬合です。通常は前歯に見られますが左右どちらか、又は左右両方の奥歯が噛めない症状(臼歯部開咬)の方もいます(図1、2)。

図1 前歯部の開咬

図2 臼歯部の開咬(側面)
Q2:開咬にはどのような弊害がありますか?
① 前歯で物が噛み切れない
② 奥歯でしか噛めないため歯がすり減り、負担がかかることで奥歯の寿命が短くなる。
③ 発音(サ行、タ行など)に影響が出る。舌足らずな発音になる。
などの弊害があります。
Q3:開咬の原因は何ですか?
骨格や筋肉など遺伝的な原因と、舌や唇の使い方、習慣や癖による原因があります。この二つの原因が両方あると治療は非常に困難になります。顎関節の異常が原因の場合もあります。
① 骨格による原因:開咬になりやすい骨格とそれとは逆の「過蓋咬合」になりやすい骨格があります。これは遺伝的な要因が強く、骨格そのものを治すことはできません。開咬の人はもともと前歯で噛むための筋肉が弱い傾向にあります。(図3、4)
② 癖や習慣による原因:指しゃぶりやおしゃぶりの長期利用により前歯がかみ合わなくなることがあります。指しゃぶりがなくても上下の前歯を舌で押す癖(舌突出癖)や口呼吸によって、常に舌が下の歯を押している状態(低位舌)は多くの開咬の人に見られる特徴です。
一度開咬になってしまうとその隙間に舌や唇が入り込む癖が発生して、症状が悪化することがあります。前歯ではなく奥歯で舌を噛む癖がある人や、お口の大きさに対して舌が大きすぎる人などでは臼歯部開咬が起こりやすいようです。又、正しい食べ物の飲み方ができない異常嚥下癖も開咬の原因になります。(図5、6、7 )
最近ではアレルギー性鼻炎から口呼吸になり、それが原因で開咬になったと思われる患者さんを多く見かけます。このような方の場合は、耳鼻科に通院して鼻の症状を治してから矯正治療を開始することをお勧めしています。骨格や機能的な問題両方が大きすぎる場合は、外科矯正による治療が必要になります。

図3 開咬になりやすい骨格

図4 開咬になりにくい骨格
※下顎の形の違いに注目

図5 舌突出癖(飲み込むたびに舌が上下の前歯を押す癖)

図6 低位舌(常に舌が下顎の歯と接して歯を押している)

図7 正しい嚥下と異常嚥下
Q4:どのような治療をしますか?
開咬の原因の多くは舌の癖ですので年齢に関係なく、まずは正しい舌の使い方を覚える筋機能訓練を行います。必要があれば舌だけではなく唇の訓練を行うこともあります。癖を治すのは簡単ではありませんので、患者さん自身に頑張ってもらう必要があります。
その後お子さんの場合は成長があるため、第2大臼歯が生えてくるまで経過を観察します。なかなか癖が治らない場合は習癖除去装置(図9)を使うこともあります。
大人の方の場合はマルチブラケット装置で治療を行いますが、親知らずなどの抜歯が必要になることが多く、
治療中は顎間ゴム(図10)を必ず使用してもらいます。骨格にも問題のある場合は矯正用インプラント(TAD、図11)を併用することもあります。

図9 習癖除去装置タングクリブ

図10顎間ゴム

図11 矯正用インプラント
舌の癖が治らないと、いったんよくなっても成長中に再発しやすく、マルチブラケット装置で歯を動かすときに舌が邪魔をして動かない場合があります。又、保定中に開咬が再発することもあるため、治療が最も難しい不正咬合の一つです。
不正咬合の種類(3)上顎前突
Q:上顎前突(じょうがくぜんとつ)とは、どのような歯並びの状態のことでしょうか?
奥歯で嚙んだ時に上の歯が下の歯よりも前にある状態、いわゆる「出っ歯」のことです。
上顎前突はいろいろな要因によって分類することができますが、
①上あごが大きすぎるタイプ
②下顎が大きすぎるタイプ
③骨格に問題はないが歯だけが前に出ているタイプ
に分けることができます。
成長期のお子さんの場合は、どのタイプに属するかによって治療方法が変わってきます。
これから成長によって下の顎が大きくなるため、治療効果が得られれば歯並びだけでなく骨格的な変化が期待できます。
大人の場合は成長がないため、主に上の前歯を後ろに引っ込めることで出っ歯を治していきます。
Q:そのままにしておくとどのような弊害がありますか?
一番の弊害は見た目が悪いことですが、それ以外にも一般的に以下のような悪影響があるといわれています。
・ ぶつけたときに歯が欠けたり折れやすい
・ 発音(特にさ行)がしづらい。
・ 口が閉じづらいため口呼吸の原因になる。また、食べ物が食べづらく、こぼしやすい
・ 前歯で噛めないので、奥歯ばかりで噛むようになり、奥歯がすり減る。
Q:原因は何ですか?
上顎前突になる主な原因は①遺伝的なものと②後天的なものに分けることができます。
① 遺伝的な理由
骨格的に上の顎(あご)が大きい、下の顎(あご)が小さいなど、子供の顔が親に似るのと同じ理由で、出っ歯になりやすい方がいらっしゃいます。
② 後天的な理由
指しゃぶり。鉛筆やタオルなどを噛む。下唇を噛む。うつ伏せで寝る。口がぽかんとあいている。など、様々な癖が原因で上顎前突になることがあります。又、クラリネットやサックスなどの管楽器が原因で前歯が出ることもあります。
一般的には①と②の両方が重なると症状は重くなる傾向にあります。
Q:治療方法にはどのようなものがありますか?
成長のあるお子さんと成長のない大人の方で治療方法が違います(図1)。成長がある場合はできるだけ骨格の問題を改善するような治療方法を試してみますが、残念ながらすべての方がうまくいくわけではありません。効果があまりない場合は、成長終了後に大人と同じ治療を行います。
子供と大人共通する治療方法の一つは前述した、出っ歯の原因になっている癖を治すことです。簡単ではありませんが、原因を取り除かないと、予想した治療結果が得られなかったり、治った後に再発することがあります。

図1 上顎前突の治療法
稀ですが、極端に下顎が小さかったり、顎の関節の発育がひどく悪い場合などは外科矯正(手術)をしないと治らないケースもあります。
Q:どのような装置を使いますか?
第1期治療では、ヘッドギア(図2)で上顎の成長を抑制したり、バイオネーター(図3)のようなファンクショナルアプライアンスを用いて下顎の成長を促進します。しっかり使用できればある程度の効果は期待できますが、すべての人がうまくいくわけではありません。
大人の場合は上下の顎の位置関係に問題があったり、歯の位置に問題があったりする場合は永久歯を何本か抜いてスペースを作り、エッジワイズ装置を使用して(図4)上の前歯を後ろに下げて治療します。
まとめると、成長のあるうちは習癖などの上顎前突の原因を取り除き、上下顎骨の位置関係改善のできる装置を使用して治療を行い、永久歯が生え揃い、顎の成長がある程度すすんだら抜歯が必要かどうか判断して、すべての歯を並べる治療(第2期治療)を行います。

図2 ヘッドギア

図3 バイオネーター

図4 エッジワイズ装置
矯正治療中の歯磨き方法
清掃器具
普通のハブラシ(図1)
基本的にはこの歯ブラシを全体のブラッシングに使用します。細かい部分には歯ブラシの角の部分(写真○印)を使用します。硬い毛のものは耐久性がいいのですが、強く磨きすぎると歯肉を痛める可能性が高いので、少し柔らかい毛のものがお勧めです。

図1) 丸印のところ。かかと。
矯正用のハブラシ(図2)
普通の歯ブラシは毛の断面が平面なのに対して、この歯ブラシの断面は山型になっていますのでブラケットの周りやその他の装置の細かい部分のブラッシングに適しています。

図2) 矯正用歯ブラシ
タフトブラシ(図3)
特に細かい部分のブラッシンブに有効です。広い面積を磨くには適していませんが、歯ブラシでは届かない部分をピンポイントで磨けます。

図3) タフトブラシ
ブラッシング方法
矯正の装置(ブラケット)が歯に付くと、普段どおりのブラッシングではなかなかうまく食べ残しを取り除くことができません。今回は基本的なブラッシング方法を紹介します。
装置のついていない状態でのブラッシングの基本は、歯に対して直角に歯ブラシを当てて前後左右に動かします。ところが、矯正治療中はこの方法ではブラケットやワイヤーが邪魔をしてハブラシが歯に届かなくなるので、ハブラシを歯に当てる角度を工夫しながら、ブラッシングする必要があります。(図4、5)

図4) 上からのハブラシの当て方

図5)下からのハブラシの当て方
汚れが溜まりやすいブラケットの周りはブラケットの「上」「下」「右」「左」と、4方向からハブラシを当てる角度を変えて磨く必要があります。
図3,4のようにブラケットの上下から磨いたら今度は、横の部分を磨いていきます。ここを磨くにはハブラシの角の部分を使います。

図6) 横からのハブラシの当て方
3、4本の歯を一度に磨こうとすると、歯と歯の間のやわらかい歯茎を傷つけてしまうことがあるため、この方法ですべての歯を1歯ずつ磨いてください。この方法で、どうしてもうまく磨けないときは、下の写真のような「タフトブラシ」や「歯間ブラシ」を最後の仕上げとして使うと、よりきれいに磨くことが出来ます。

タフトブラシの使用例
よく電動歯ブラシを使用した方が良いかどうか質問がありますが、どちらでも良いと思います。使いやすい器具が一番なので、これまで電動歯ブラシを使っていた方はそのままご利用いただくといいと思います。
初めは自分がどこを磨いているかわからないと思いますので、必ず鏡の前で磨いてください。奥の方はそれでも見えないので、自分がどこを磨いているか感覚で覚えていくことが必要になります。当医院で磨き残しがあるところを指摘しますので、どうすれば磨きやすいかいろいろ工夫してみてください。
大きく口を開けすぎると、頬っぺたや唇が邪魔になる場合がありますので、口の周りの筋肉をリラックスさせると磨きやすいと思います。歯が小さい人や、お口が小さくて開きにくい人は小さな歯ブラシや「タフトブラシ」「歯間ブラシ」を併用するといいでしょう。
ある患者さんの話ですが、矯正治療を始めてから体重が減ったそうです。御飯が食べられなくて痩せたのかと心配しましたが、実は食後の歯磨きが面倒なので、間食でお菓子を食べなくなり、おかげでダイエットができたと喜んでいました。この方は、食べたら必ず磨くことを自分のルールとしてきっちり守ったので、お菓子を食べる頻度を減らすことができたわけです。
重要なのは清掃器具よりも正しい磨き方(歯ブラシが装置に邪魔されずに歯面や歯茎に届いているかどうか)、そして磨く習慣が身についているかどうかです。初めから完璧にできる方はいませんので、いろいろな方法を試して自分が続けやすい方法を見つけてください。
矯正治療に伴う一般的なリスクや副作用について
新型コロナウィルスの流行はいまだに収束しませんが、昨年の今頃と比べるとかなり日常生活に変化が出てきました。皆さんの中にはワクチン接種を終えた方も多くいらっしゃるかと思いますが、ワクチン接種前に「副反応」「副作用」という言葉をよく耳にしたと思います。副作用の定義は「医薬品の使用、あるいは医療的処置に伴って生じた、治療者や患者が望んでいない作用全般のこと」です。
矯正治療も医療行為ですので残念ながら「副作用」が起る可能性があります。矯正治療に伴う副作用についてはこれまでに論文等で様々な報告があり、どこまでが副作用なのかを判断することも意見が分かれるところで、すべてを紹介するのは困難です
今回は院長が所属する「日本矯正歯科学会」のガイドラインに記載された項目を参考に一般的な副作用とリスクについて説明します。
矯正治療に伴うリスクと副作用
- 矯正治療は一度治療を開始すると、元の状態に戻すことはほぼ不可能です。
- 治療開始当初は、矯正装置による違和感や口内炎、歯の移動による痛み等があります。裏側に装置が付いた場合は舌の違和感があり、しゃべりにくくなります。(痛みの強さや持続期間には個人差があります。しゃべりにくさもほとんどの場合1か月程度で慣れます)
- 歯の動き方には個人差があり、予想された治療期間が延長する可能性があります。特に永久歯が生えそろっていない混合歯列期、思春期成長前の場合、治療期間を予測することは困難です。
- 治療によって嚙む位置が変化することがあります。(顎位の変化)違和感がありますが、新しくなった噛む位置に慣れる必要があります。また、顎位の変化が大きい場合は、治療期間が延長や、治療計画を変更する可能性があります。
- 指しゃぶりや舌の癖、唇をかむ癖など、不正咬合の原因になっている癖が治らないと、症状が改善できないことがあります。(後戻りの原因にもなります)
- 装置や顎間ゴムの使用状況、定期な通院など患者自身の協力度も治療結果や治療期間に影響します。(協力度が低いと治療期間が延長します)
- 治療中は装置の影響で歯が磨きにくくなり、虫歯や歯周病のリスクが高まります。(丁寧なブラッシングと一般歯科医院での定期的なメンテナンスによってリスクが軽減されます。)
- 治療中に歯の移動により隠れていた虫歯が見つかることがあります。
- 装置を誤飲することがあります。
- 治療途中に金属アレルギーの症状が出ることがあります。
- 歯の移動により歯の神経が障害を受けることがあります(歯髄壊死)
- 歯根と骨がくっついて、歯が動かない状態になることがある。(アンキローシス)(過去にぶつけた歯や、骨の中に埋まっていた歯などで起こりやすく、治療中に突然起こることもあります。原因は不明で事前にレントゲンやCTを撮影してもわかりません)凸凹がたくさんある場合は、元々歯を支えている骨量が少ないため、できやすい。写真のように歯の概形が三角形の人は特にできやすい。※9~12はかなり稀で経験上発生率は1%未満です。
- 歯の移動により歯の根が短くなることがあります。(歯根吸収)
- 歯茎が下がって歯根が見えるようになることがあります(ブラックトライアングル)
- 治療中に顎関節症状(音がする、痛みがある、口が開けにくいなど)がでることがあります。(治療前にこのような症状がある場合は悪化するリスクが高くなります。顎関節は原因が一つだけではないので、矯正治療によって歯並びがよくなっても治るわけではありません。思春期に起こりやすいのですが、顎の成長が止まると症状が消失すること多いため経過観察が必要です)
- 歯の形を変えたり、噛み合わせをよくしたりするために歯の一部を削ることがあります。
- 装置を外す際に、歯の表面に微小な傷や亀裂ができたり、被せたり詰めてあった材料(修復物や補綴物)が破損したりすることがあります。歯磨きが不十分な場合は装置の周りに変色や虫歯が見つかることがあります。
- 装置除去後に、きれいになった歯並びに合わせて被せものや詰めものをやり直す場合があります。(歯冠修復、補綴)
- 装置除去後は一定期間、保定装置(リテーナー)を使用しないと後戻り(凸凹や隙間などができて、歯並びが悪くなる)が生じるため、保定期間中(2~3年)も定期的に来院して指示通り装置を使用する必要があります。
- 未成年者で治療後に成長がある場合や、親知らず(第3大臼歯)の萌出により、噛み合わせや歯並びに変化が生じる可能性があります。
- 保定期間終了後も歯の喪失や歯周病、顎関節症の悪化、口腔周囲習癖(指しゃぶりなど)などがあると、かみ合わせや歯並びが変化する可能性があります。
- 加齢により少しずつ歯がすり減り、歯を支えている骨や歯肉の減少が進行するため、矯正治療経験の有無にかかわらず歯並びは生涯を通して徐々に変化していきます。
不正咬合の種類(2)叢生
前回に引き続き、基本的な歯並びについての説明をQ&A形式で説明していきたいと思います。
Q:叢生(そうせい)とは、どのような歯並びの状態のことでしょうか?
一般的には乱杭歯と呼ばれており、歯並びに連続性がなく、前後左右にデコボコしている状態のことを叢生と呼んでいます。
歯の大きさに比べてアゴが小さいことが要因でこのような状態に歯が並んでいます。いわゆる八重歯も叢生に分類されます。
Q:叢生をそのままにしておくとどのような弊害がありますか?
見た目が悪いことが一番の短所ですが、それ以外にも食べかすがたまりやすくなり、正常な歯並びに比べて、虫歯や歯周病になりやすい状態だと言えます。
また、そもそもしっかり上下の歯がかみ合っていないことが多いのですが、デコボコ部分だけが強く当たって、歯が磨り減ったり、歯の根っこがダメージを受けて短くなったりすることもあります。
Q:どのような治療方法がありますか?
乳歯が残っていてこれから大きく顎が成長するお子さんと成人とでは治療方法が違います。これから永久歯に生え変わる場合はアゴの幅を広げたり、奥歯を後ろに移動させたりして歯が並ぶスペースを作ります。
その後、顎の成長と歯の生え変わりを待ってどうなるか経過を観察します。成人の方やすべて永久歯に生え変わった中学生以上のお子さんの場合は、デコボコの量や全体的なかみ合わせや骨格を考慮して、同様な治療を行うか、永久歯の数本を抜歯するかの判断をし、マルチブラケット装置で治療を行います。
経過観察が終了したお子さんも必要があれば抜歯を行い、同様に治療を行います。
Q:硬いものをよく食べると顎が大きくなって叢生を予防できますか?
あまり噛まない人よりよくかむ人の方があごの発育はよくなる可能性はありますが、だからといって硬いものばかり食べていれば、アゴが大きくなるというわけでもありません。残念ながらそれだけで予防にはならないと思います。
歯の大きさやアゴの大きさは遺伝します。もともと歯が大きいご両親のお子さんの歯は、やはり大きいですから、遺伝的要素の影響は強いと思います。
叢生の予防には虫歯にならないように歯磨きを頑張ることが最も有効です。むし歯で早期に乳歯が抜けてしまうことも叢生の原因のひとつです。
Q:叢生の治療の開始時期はいつがいいでしょうか?
デコボコの程度やその人の歯の生え変わりの早さにもよりますが、できれば永久歯が生え揃う前、上の前歯が2本生えてきた頃がいいと思います。まだ6歳臼歯が生えておらず、下の前歯だけが永久歯といった状態では、すぐに治療を開始しません。
矯正の装置の使用は小さなお子さんには取り扱いも大変です。又、顎を広げる場合は6歳臼歯が生えた状態の方が有効ですし、広げた後に可能な場合は前歯を揃えることを考えれば、上の前歯が生え変わる頃がベストなタイミングだと思います。
不正咬合の種類(1)反対咬合
前回までは、子供の患者さん、大人の患者さんの「よくある質問」についてお答えしてきました。今回からしばらくは、基本的な歯並びについての説明をQ&A形式で説明していきたいと思います。
Q:歯並びやかみ合わせの治療をされている患者さんの中で最も多い症状は?
最も多いのは反対咬合(はんたいこうごう)、叢生(そうせい)です。以前は反対咬合が1番でしたが、近年は叢生の方が多くなっているかもしれません。この2つは誰が見てもわかる不正咬合ですので、割合としても多くなるのだと思います。
Q:反対咬合とはどのような症状でしょうか?
反対咬合とは、一般的に受け口といわれるもので、下の歯が上の歯よりも前に出ている状態です(下写真)。

機能的には食べ物を良く噛めない、発音がしづらいといった悪影響があります。
歯並びの見た目もそうですが、下あごが前に出ている場合が多く、顔貌にも影響を与え、下顎前突ともいいます。
受け口の場合はやはり遺伝的な原因が関与しているケースが比較的多く、ご両親、ご親戚の誰かが受け口、または受け口ではなくても下アゴが大きい骨格の場合は、その遺伝的な影響でお子さんも下アゴが大きくなりやすく、症状が軽い場合でも注意する必要があります。
厄介なことに下アゴは、身長が急激に伸びる思春期に、腕や足の骨と同時期に大きくなりますので、小さい頃は受け口でなくても、成長するにつれて下アゴが大きくなり受け口になる人もいます。
Q:いつごろか治療をはじめるのがいいのですか?
本格的な成長が始まる前の小学校3,4年生までには始めたほうがいいと思います。以前は「前歯が永久歯に生えかわるまで様子をみる」というのが一般的でしたが、最近は、もう少し小さなお子さん
でも比較的簡単に使える装置がありますので(下写真)、もっと早い時期、未就学児のころから治療を開始して、治った後、長期間経過観察を行う治療方針をとることが多くなってきました。

未就学児でも使用可能なムーシールド
Q:永久歯が生えてきてからはどのような装置で治療をしますか?
歯が生え変わり中のお子さんの場合、骨格的な問題があまり無いようであれば、歯の裏側から付ける簡単な装置だけで治して(写真1)、その後は経過観察を行っていきますが、骨格的な問題がある場合は自分で取り外しができる、野球のキャッチャーマスクのような装置(写真2、3)を夜間使用してもらい上アゴを前に引っ張って成長を促します。

写真1 クウォードヘリックス。前歯を裏側から押して反対咬合を改善しているところ
先ほど説明したように、思春期に下アゴが大きくなりますので、治ったあとも定期的に観察、予防をしていく必要があります。

写真2 上顎前方牽引装置。口の中には固定式の装置が入っており、その装置の金具に輪ゴムを引っかけて使用する

写真3 上顎前方牽引装置。横から見たところ
Q:永久歯が生えそろってからはどのような治療をしますか?
すべての歯に金具を付けるマルチブラケット装置(写真4)を使用して治療を行いますが、永久歯がすべて生えそろっていても、まだあごの成長がたくさん残っている場合は、ある程度成長が止まるまで様子を見る必要があります。一般的には男子は女子に比べて、思春期成長が始まるのが遅いため、治療開始時期が遅くなります。

写真4 マルチブラケット
成人の場合も治療方法は同じですが、必要に応じて前述のクウォードヘリックスや上顎前方牽引装置を併用することもあります。
稀ではありますが、矯正治療による歯の移動だけでは受け口が改善できない骨格的な問題のある方は、外科手術を併用しないと治せないこともあります。
また、矯正治療だけでもある程度の顔貌の変化は期待できますが(写真5、6)、より大きくアゴの突出感を治したいという方もいらっしゃると思います。
残念ながら矯正治療だけではアゴの形や位置を変えることはできないため、その場合も外科手術を併用することになります。当医院では行っていないため、詳しい説明は省きますが、約1か月の入院が必要で、健康保険が適用されます。

写真5 矯正治療前の側貌レントゲン写真

写真6 矯正治療後の側貌レントゲン写真
新型コロナウイルスについて
新型コロナウイルスの流行は未だ収束せず「ウィズコロナ」「新しい生活様式」といった言葉で象徴されるような、ウイルス感染に注意しながらの今までとは違った日常が始まりました。
待合室にも掲示していますが、当医院は当分の間これまで通りの感染対策を行っていきます。
(一時期、マスクやグローブ、消毒薬などが入手できず苦労しましたが、現在は十分な在庫が確保できました)
ご来院される方、装置がお口の中に入っている患者様は、感染拡大防止のため、以下のようなことに注意していただきますようお願い申し上げます。
1.当医院での感染予防対策
当医院では、普段から器具の滅菌、消毒、グローブやコップの使い捨て、ペーパータオルの使用など、様々な院内感染予防に取り組んでいますが、3月初旬からはコロナウィルス対策として、スタッフ全員のマスクとグローブの常時着用、診療時間中の換気(窓の開放)、待合室の清拭、消毒、診療ユニットの患者毎の消毒を新たに追加しました。
待合室、診療ユニットの消毒には次亜塩素酸水、消毒用アルコールを使用しています。待合室では加湿器による次亜塩素酸水の噴霧を行っておりましたが、現在は人がいるときの使用を停止しています。
これから暑くなりますが、窓は常時開放して換気に留意してまいります。
現在、診療室に入る際に手指消毒と診療前にうがい薬による洗口及び口腔内の消毒をお願いしています。
ご来院の皆様にはご不便をお掛けすることもあると思いますが、ご理解のほどよろしくお願い申し上げます。
2.患者様、保護者の方へのお願い
当院は完全予約制で、診療椅子(ユニット)が2台ですので、一部の時間帯を除けば待合室や診療室に多くの人が集まることはありません。
ただし、予約時間以外に来院されたり、多人数で来院される方がいらっしゃると一時的に待合室が混雑する場合があります。感染予防の観点から、予約時間遵守と最低限の人数での来院にご協力ください。
待合室、診療室では、大声での会話を控えていただき、咳エチケットの遵守と治療中の患者様以外はマスク着用をお願い致します。
現在お口の中に装置が入っている方はご存じだとは思いますが、余計な通院を減らすためにも以下のような注意事項を再度ご確認ください。
1. 取り外しができる矯正装置を使用中の方は、失くさないように気をつけましょう。はずしたときは必ずケースに入れましょう。
2. 装置を壊さないように注意しましょう。手で触ったり、噛んだり舌で触ったりするのは我慢しましょう。硬いものはなるべく食べないようにしましょう。
3. 虫歯にならないように今まで以上にしっかり歯をみがきましょう。虫歯になると他の歯医者さんに通院が必要になります。食べたら磨くが基本です。磨き方がわからない人は先生にきいてください。お子さんの場合は、ご家族の方が仕上げ磨きをお願いします。
マスク常時着用と口呼吸
マスクの常時使用が普通になっていますが、マスクをしていると口呼吸になりやすいという話をある患者さんから伺いました。
元々口で呼吸してしまう人は、鼻から空気を吸うのが苦手なのにマスクをすることでさらに息苦しくなって、口呼吸になるのでしょう。以前掲載した口呼吸の影響に関する話をもう一度載せておきます。ご参照ください。
歯並びと癖の関係(口呼吸の影響)
1)鼻呼吸と口呼吸の違い
私たちが普段吸い込む空気には様々な雑菌(病原菌)が含まれていますが、鼻呼吸では菌の50~80%は鼻の粘膜に吸着し処理されます。冬の冷たく乾いた空気も鼻腔(鼻の奥の空間)で暖められ、湿度を含んだ状態で喉(のど)まで到達します。加湿が十分だと肺にある肺胞粘膜から酸素がスムーズに吸収でき、身体にも十分な酸素が供給されるので免疫力も向上するといわれています。
一方、口呼吸では口から吸った空気はそのまま喉まで入ってしまうため、喉の粘膜が様々な病原菌に無防備にさらされることになります。喉には温度、湿度の調節機能がないので、外気を吸い込んだ時とほぼ同じ状態の空気が喉へ到達し、喉を乾燥させたり冷やしたりして、リンパ組織(扁桃腺)に損傷を与えます。
また、空気が鼻を通らないと、鼻腔は汚れが停滞してしまい、鼻粘膜が炎症を起こして肥厚するため、鼻の通りがさらに悪くなり、その結果酸素が吸収されにくい環境になります(図1)。

(図1)
2)口呼吸と食事
鼻呼吸が出来ず口で呼吸しながら食事をすると、物を噛んだり、飲み込んだりする食べ物の処理と、呼吸が協調せず、むせやすくなったり、口を開けているのでくちゃくちゃと音がしたり、食べ物が口の周りに付きやすくなります。
3)口呼吸の歯周組織への影響
口呼吸が習慣化すると、常に口が開いているので口の中が乾燥し、食べ物や飲み物によるやプラークの石灰化が起こりやすくなります。
プラークの石灰化とは、食べかすが歯にこびりついて固くなった状態のことで、通常の歯磨きでは落としきれない頑固な汚れのことです。
この状態が続くと、歯磨きをしっかり行っても汚れが取れず、色素沈着や口臭の原因になるだけでなく、炎症が治りにくくなるため、歯肉炎が慢性化して歯肉の肥大や角化(硬くなる状態)が起こります(図2)。

(図2) 口呼吸が原因と思われる歯肉の肥厚
※歯はきれいに磨けているが歯肉は腫れているように見える
また、口呼吸が原因で舌の位置が下がり、常に舌で下顎前歯を押すようになったり(低位舌 図3)、飲み物や食べ物を飲み込むたびに舌で前歯を押す癖(異常嚥下癖、舌突出癖)がついたりすると、歯を支えている歯周組織が弱り、歯周病を誘発します。

(図3) 低位舌、舌突出癖
※上下の歯の隙間から舌が見える。普段から舌で前歯押している様子が伺える
よくある質問Q&A 大人の矯正治療(5)
Q5.口元が出ているのを治したいのですが、どれくらい変化がありますか?
成人の患者さんからご相談で「前歯が出ているので口が閉じにくい」「出っ張った口元を引っ込めたい」というお話を聞くことがあります。
客観的にみて前歯が出すぎている場合は、犬歯の後ろの歯を抜歯したスペースを使って前歯を後退させることができます。抜歯をしない場合は、ほとんどの場合前歯を後退させることができず、場合によっては少し前に出さざるを得ません。
小学生や中学生の保護者の方の多くは、何とか歯を抜かずに済む方法はないかとご相談されることが多いのですが、その場合は「口元の突出感」の改善はできないので、永久歯列期の治療を開始する前に抜歯をするかどうかは相談して決めるようにしています。小臼歯の抜歯を行うと、ほとんどの場合口元が後退します。ただし、どの程度後退するかは、骨格、口の周りの筋肉や唇の形など、色々な要素によって変わるため、治療前に確実にわかるものではありません。
口元の突出度を調べるのによく使われる基準としては鼻の先端とあごの先端を結んだ線「E-line」があります。
このE-line上、又はわずかに後ろに唇が位置しているのが理想的な状態といわれています。したがって、鼻の高さや、下あごの形も口元の突出度に影響を与えます。
もう一つ口元の突出度を表す指標にNasolabial angle(ナゾラビアルアングル・鼻唇角)というのがあります(図9)。

図9 Nasolabial angle(鼻唇角)
鼻の下を通る線と上唇を通る線で作られる角度のことで、90°~105°ぐらいが理想とされています。鼻の形によって影響を受ける角度なので、性別や人種によっても理想値は異なります。この角度が小さいと上唇が突出、大きいと後退傾向を表します。
A、Bの患者さんは、どちらもはじめ小さかったのが治療後には90°近くまで改善しています。
よくある質問Q&A 大人の矯正治療(4)
Q4. 歯がデコボコに並んでいる場合、必ず抜歯が必要ですか?
矯正治療を始めるにあたって、歯を抜かなければいけないかどうかは患者様にとって大きな問題だと思います。
「抜歯が必要なら矯正治療はやらない」というお考えの方もいらっしゃるかもしれません。
一方で、保護者の方ご自身が抜歯をして矯正治療の経験がある方の場合、お子さんが将来抜歯が必要になることを説明しても全く抵抗がありません。これはご自分が抜歯をしてもその後何も問題がないことを理解しているからです。
これからアゴの成長がある小学生、中学生の場合は抜歯するかどうかは、ある程度成長が進んでから判断します。
成人の場合は症状によって ①どう考えても何本かの永久歯を抜かなければ治せないケースと、②抜いても抜かなくてもどちらでも治せるケース、③抜かないで治せるケースに分けることができます。
①のケースとはひどく出っ歯だったり受け口だったり、デコボコの量が多すぎる場合、あるいは複数の不正咬合の要素がある場合などです。
①と③は問題ありませんが、②はどちらにするか毎回悩みます。
②のケースとは、抜歯をしないで治療すると(治療期間が抜歯するより長くかかる・たくさん装置を使う・理想的な状態にはならない・結局は後で抜歯が必要になる可能性がある・など)デメリットがあり、抜歯をした方が(早く治療が終わる・よりきれいな仕上がりになる・確実に治る・など)メリットが多くある場合です。
②のような場合は患者さんの希望が重要になりますので、治療開始前に抜歯・非抜歯のメリット、デメリットを説明した上でどちらにするか選択してもらっています。
抜歯をしないことにこだわりが強い方であれば多少治療期間が長くなったり、多少口元が出てしまったりしても、抜歯をせずに治すほうを選択する方もいらっしゃいます。

