混合歯列期の矯正治療

治療例

お子さんの治療は乳歯から永久歯の生え変わり途中で、顎の骨もこれから発達していきます。歯並びや骨格の変化は個人差が大きいため、すべての方が同じ治療結果になるわけではありません。又、この時期の治療は、永久歯列期以降の治療の準備や予防が目的のため、第1期治療だけで永久歯の歯並びがすべて良くなるわけではありません。
第1期治療から第2期治療に移行するかどうかは、第1期治療の治療効果と患者様のご要望などを考慮して、担当医と患者様の保護者と相談の上決定しています。

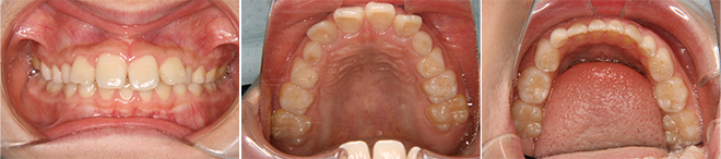
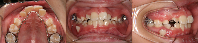
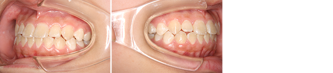
症例1 叢生(デコボコ、乱杭歯)

主訴 前歯がデコボコしている。
年齢・性別 9歳 / 男児
治療方針 顎と歯の大きさのアンバランスが大きいため将来永久歯の抜歯が必要と判断、噛み合わせに問題があるため上顎前歯の叢生(ガタガタ)の改善と奥歯のかみ合わせを維持して、すべての永久歯が生え変わるまで経過観察
使用装置 リンガルアーチ、エッジワイズ装置(前歯のみ)、パラタルアーチ
治療期間 12か月
リテーナー フィックスリテーナー(前歯のみ)
費用 390,000円(第一期治療、税別)

治療前

治療前

治療中

治療中 治療中

治療後

治療後

リスク及び副作用

矯正治療では以下のリスクや副作用が考えられます。

  • 歯根吸収(歯の根が短くなる症状)
  • 歯肉退縮(歯茎が下がる症状)
  • アンキローシス(歯と歯を支える骨が癒着し歯が動かなくなる。)
  • 歯髄壊死(歯の神経が失活してしまう状態)
  • 顎関節症(顎の痛み)
  • 虫歯・歯周病(ブラッシングが不十分な場合)
  • 口内炎(唇、頬、舌の傷や痛み)

症例2 上顎前突(出っ歯)

主訴 前歯が出ている
年齢・性別 9歳 / 女児
治療方針 これから下顎が成長する時期のため、上顎前歯の叢生(デコボコ)を改善してすぐに下顎の成長を促進するファンクショナルアプライアンスを使用し効果を期待する。
使用装置 エッジワイズ装置(前歯のみ)、バイオネーター
治療期間 14か月
リテーナー なし
費用 390,000円(第一期治療、税別)

治療前

治療前

治療中

治療中 治療中

治療後

治療後

リスク及び副作用

矯正治療では以下のリスクや副作用が考えられます。

  • 歯根吸収(歯の根が短くなる症状)
  • 歯肉退縮(歯茎が下がる症状)
  • アンキローシス(歯と歯を支える骨が癒着し歯が動かなくなる。)
  • 歯髄壊死(歯の神経が失活してしまう状態)
  • 顎関節症(顎の痛み)
  • 虫歯・歯周病(ブラッシングが不十分な場合)
  • 口内炎(唇、頬、舌の傷や痛み)

症例3 反対咬合(受け口)

主訴 噛み合わせが逆
年齢・性別 8歳 / 女児
治療方針 まず前歯のかみ合わせを改善するが、これから生えてくる永久歯のスペース不足の改善も考慮して上顎の拡大も同時に行う。今後の成長による反対咬合の再発に注意する。
使用装置 クワッドヘリックス
治療期間 12か月
リテーナー なし
費用 390,000円(第一期治療、税別)

治療前

治療前

治療中

治療中 治療中

治療後

治療後

リスク及び副作用

矯正治療では以下のリスクや副作用が考えられます。

  • 歯根吸収(歯の根が短くなる症状)
  • 歯肉退縮(歯茎が下がる症状)
  • アンキローシス(歯と歯を支える骨が癒着し歯が動かなくなる。)
  • 歯髄壊死(歯の神経が失活してしまう状態)
  • 顎関節症(顎の痛み)
  • 虫歯・歯周病(ブラッシングが不十分な場合)
  • 口内炎(唇、頬、舌の傷や痛み)

症例4

主訴 前歯が出ている。前歯の隙間が気になる。
年齢・性別 9歳 / 男児
治療方針 第1期(混合歯列期)治療:下顎劣成長の上顎前突と過蓋咬合。思春期成長前に前歯のalignmentを行い、その後の下顎成長を期待しバイオネーターを使用。
抜歯部位 非抜歯
使用装置 ①ユーティリティーアーチ ②バイオネーター
治療期間/リテーナー ①1年 ②1.5年/フィックスリテーナー、Hawleyリテーナー
コメント 下顎が期待通りに成長し、上顎前突、過蓋咬合ともに改善した。下顎前歯に叢生があるが、患者の希望によりfull bracketでの治療は行わなかった。治療開始から終了まで3年7か月、保定期間2年
費用 390,000円(第1期治療のみ)

治療前

治療前 治療前 治療前

治療中

治療中 治療中 治療中

治療後

治療後 治療後 治療後

リスク及び副作用

矯正治療では以下のリスクや副作用が考えられます。

  • 歯根吸収(歯の根が短くなる症状)
  • 歯肉退縮(歯茎が下がる症状)
  • アンキローシス(歯と歯を支える骨が癒着し歯が動かなくなる。)
  • 歯髄壊死(歯の神経が失活してしまう状態)
  • 顎関節症(顎の痛み)
  • 虫歯・歯周病(ブラッシングが不十分な場合)
  • 口内炎(唇、頬、舌の傷や痛み)

症例5

主訴 前歯が出ている。凸凹している。
年齢・性別 9歳 / 女児
治療方針 第1期(混合歯列期)治療:上下歯列の拡大により永久歯の萌出スペースを確保し、上顎前歯のアライメントを行う。その後ヘッドギアを使用し下顎骨の成長を期待する。
抜歯部位 非抜歯
使用装置 ①クワドヘリック、バイヘリックス、前歯部にブラケット ②ハイプルヘッドギア ③下顎前歯部のみブラケット
治療期間/リテーナー ①1年2か月 ②1年5か月 ③8か月/上顎フィックス、下顎スプリングリテーナー
コメント 上下顎ともに小さく、下顎の後退感が強かったため当初将来抜歯が必要と思われたが、ヘッドギアの使用状況と下顎の成長に恵まれ、第一期治療だけである程度の改善ができた。
費用 400,000円(第1期治療のみ)

治療前

治療前 治療前 治療前

治療中

治療中 治療中 治療中

治療後

治療後 治療後 治療後

リスク及び副作用

矯正治療では以下のリスクや副作用が考えられます。

  • 歯根吸収(歯の根が短くなる症状)
  • 歯肉退縮(歯茎が下がる症状)
  • アンキローシス(歯と歯を支える骨が癒着し歯が動かなくなる。)
  • 歯髄壊死(歯の神経が失活してしまう状態)
  • 顎関節症(顎の痛み)
  • 虫歯・歯周病(ブラッシングが不十分な場合)
  • 口内炎(唇、頬、舌の傷や痛み)

症例6

主訴 前歯が逆に噛んでいる。
年齢・性別 5歳 / 女児
治療方針 乳歯列期:被蓋改善のためムーシールドを夜間使用。改善できない場合は第1大臼歯の萌出を待ってから被蓋改善を行う。
第1期(混合歯列期)治療:永久歯の萌出スペースを確保しつつ思春期成長中は反対咬合の再発に留意しながら経過観察を行う。
第2期(永久歯列期):必要に応じてtooth alignmentを行う。
抜歯部位 非抜歯
使用装置 ①ムーシールド ②上顎クワドヘリックス、下顎拡大床装置 ③マルチブラケット装置
治療期間/リテーナー ①1年 ②1年2か月 ③1年10か月/上顎インビジブル、下顎スプリングリテーナー
コメント 骨格性の下顎前突ではなかったが、永久歯の萌出余地不足が心配されるケースだった。乳歯列期、ムーシールドでは改善できず、上顎前歯第1大臼歯の萌出後ワドヘリックスにて拡大と上顎前歯の唇側傾斜により被蓋改善ができた。その後、永久歯の生え変わりと下顎の成長を見るため3年経過観察。中学生になり下顎前歯部に軽度の叢生があり、患者の希望もあり第2期に移行した。
費用 875,000円(第1期治療+第2期治療)

治療前

治療前 治療前 治療前 治療前

治療中

治療中 治療中 治療中 治療中

治療後

治療後 治療後 治療後

リスク及び副作用

矯正治療では以下のリスクや副作用が考えられます。

  • 歯根吸収(歯の根が短くなる症状)
  • 歯肉退縮(歯茎が下がる症状)
  • アンキローシス(歯と歯を支える骨が癒着し歯が動かなくなる。)
  • 歯髄壊死(歯の神経が失活してしまう状態)
  • 顎関節症(顎の痛み)
  • 虫歯・歯周病(ブラッシングが不十分な場合)
  • 口内炎(唇、頬、舌の傷や痛み)

症例7

主訴 前歯が逆に噛んでいる。
年齢・性別 3歳 / 女児
治療方針 乳歯列期:被蓋改善のためムーシールドを夜間使用。改善できない場合は第1大臼歯の萌出を待ってから被蓋改善を行う。
第1期(混合歯列期)治療:永久歯の萌出スペースを確保しつつ思春期成長中は反対咬合の再発に留意しながら経過観察を行う。
第2期(永久歯列期):必要に応じてtooth alignmentを行う。
抜歯部位 非抜歯
使用装置 ①ムーシールド ②上顎クワドヘリックス、下顎バイヘリックス
治療期間/リテーナー ①1年 ②10か月/なし
コメント 乳歯列期、ムーシールドにより半年ほどで被蓋改善。その後永久歯4前歯萌出まで経過観察。骨格的な下顎前突の傾向が少しあったが反対咬合は再発せず、混合歯列期になり前歯部に叢生があったため上下歯列の拡大を行なった。その後は永久歯の生え変わりと下顎の成長を見るため4年ほど経過観察。下顎前歯部に軽度の叢生があったが改善の希望はなく、この時点で治療終了。
費用 410,000円(乳歯列期100,000円、混合歯列期310,000円)

治療前

治療前 治療前 治療前

治療中

治療中 治療中 治療中

治療後

治療後 治療後 治療後

リスク及び副作用

矯正治療では以下のリスクや副作用が考えられます。

  • 歯根吸収(歯の根が短くなる症状)
  • 歯肉退縮(歯茎が下がる症状)
  • アンキローシス(歯と歯を支える骨が癒着し歯が動かなくなる。)
  • 歯髄壊死(歯の神経が失活してしまう状態)
  • 顎関節症(顎の痛み)
  • 虫歯・歯周病(ブラッシングが不十分な場合)
  • 口内炎(唇、頬、舌の傷や痛み)

症例8

主訴 乳歯が早く抜けて、永久歯が生えるスペースがない。
年齢・性別 9歳 / 女児
治療方針 左上乳臼歯の早期喪失により第2小臼歯の萌出スペースが不足している。他の部位には目立った異常がないため、第1大臼歯を遠心移動し、その後成長と第2大臼歯の萌出まで経過観察を行う。
抜歯部位 非抜歯
使用装置 ①臼歯遠心移動用のリンガルアーチ ②左側小臼歯、大臼歯に部分的ブラケット装着
治療期間/リテーナー ①5か月 ②1年2か月(経過観察2年)
コメント 通常は顎骨の成長、第2大臼歯の萌出などにより咬合変化が起こることが多いがこのケースでは部分的な移動だけである程度の改善ができた。治療後6年経過時に前歯のわずかなずれが気になると再度来院(治療後b)。
費用 390,000円(第1期治療のみ)

治療前

治療前 治療前

治療中

治療中 治療中 治療中

治療後

治療後 治療後 治療後 治療後

リスク及び副作用

矯正治療では以下のリスクや副作用が考えられます。

  • 歯根吸収(歯の根が短くなる症状)
  • 歯肉退縮(歯茎が下がる症状)
  • アンキローシス(歯と歯を支える骨が癒着し歯が動かなくなる。)
  • 歯髄壊死(歯の神経が失活してしまう状態)
  • 顎関節症(顎の痛み)
  • 虫歯・歯周病(ブラッシングが不十分な場合)
  • 口内炎(唇、頬、舌の傷や痛み)

症例9

主訴 前歯が出ている。
年齢・性別 11歳 / 男児
治療方針 上顎前歯の突出が著名で、噛み合わせも深く下口唇を常に噛んでいる状態。上顎前歯部に空隙が全体的には永久歯の萌出余地不足と思われるため上顎歯列の拡大ののち前歯の配列を行い、その後の下顎の成長を利用し第1期治療で上顎前突と過蓋咬合をある程度改善することを目的とした。効果が少ない場合は第2期治療で抜歯が必要になる可能性もあると思われた。
抜歯部位 非抜歯
使用装置 ①クワドヘリックス ②4前歯にブラケット、ユーティリティーアーチ ③バイオネーター
治療期間/リテーナー ①3か月 ②7か月 ③1年6か月(経過観察1年半)
コメント 第1期治療で上顎前突、過蓋咬合がある程度改善できた。バイオネーターの使用状況が良く、下顎の前方への成長も良好だった。下顎前歯部にわずかに叢生があり、この部分をマルチブラケット装置で改善すればさらにいい状態にできると思われたが、患者さんの要望により第2期治療は行わなかった。
費用 420,000円(第1期治療のみ)

治療前

治療前 治療前 治療前

治療中

治療中 治療中 治療中 治療中 治療中

治療後

治療後 治療後 治療後

リスク及び副作用

矯正治療では以下のリスクや副作用が考えられます。

  • 歯根吸収(歯の根が短くなる症状)
  • 歯肉退縮(歯茎が下がる症状)
  • アンキローシス(歯と歯を支える骨が癒着し歯が動かなくなる。)
  • 歯髄壊死(歯の神経が失活してしまう状態)
  • 顎関節症(顎の痛み)
  • 虫歯・歯周病(ブラッシングが不十分な場合)
  • 口内炎(唇、頬、舌の傷や痛み)

症例10

主訴 前歯が逆に噛んでいる。
年齢・性別 5歳 / 女児
治療方針 乳歯列期:被蓋改善のためムーシールドを夜間使用。改善できない場合は第1大臼歯の萌出を待ってから被蓋改善を行う。
第1期(混合歯列期)治療:永久歯の萌出スペースを確保しつつ思春期成長中は反対咬合の再発に留意しながら経過観察を行う。
第2期(永久歯列期):必要に応じてtooth alignmentを行う(歯の大きさと顎の大きさの不調和が大きいため抜歯は必要)。
抜歯部位 小臼歯4本抜歯
使用装置 ①ムーシールド ②上顎拡大床装置 ③上顎前方牽引装置、前歯部のみブラケット ④マルチブラケット装置
治療期間/リテーナー ①1年 ②8か月 ③1年6か月 ④2年3か月/上顎インビジブル、下顎スプリングリテーナー
コメント 乳歯列期ムーシールドの使用困難で被蓋改善できず、臼歯部にも反対咬合が認められたため永久前歯萌出後から上顎の拡大を行った後、上顎前方牽引装置で反対咬合の改善と前歯部のalignmentを行った。思春期成長中は永久歯の生え変わりと下顎の成長を見るため3年経過観察。中学生になり反対咬合は再発しなかったが前歯部に叢生があるためエッジワイズ装置による第2期治療を行った。
費用 895,000円(第1期治療+第2期治療)

治療前

治療前 治療前 治療前

治療中

治療中 治療中 治療中 治療中 治療中 治療中 治療中 治療中 治療中

治療後

治療後 治療後 治療後

リスク及び副作用

矯正治療では以下のリスクや副作用が考えられます。

  • 歯根吸収(歯の根が短くなる症状)
  • 歯肉退縮(歯茎が下がる症状)
  • アンキローシス(歯と歯を支える骨が癒着し歯が動かなくなる。)
  • 歯髄壊死(歯の神経が失活してしまう状態)
  • 顎関節症(顎の痛み)
  • 虫歯・歯周病(ブラッシングが不十分な場合)
  • 口内炎(唇、頬、舌の傷や痛み)

症例11 叢生・捻転歯(デコボコ・ねじれ)

主訴 前歯がねじれて生えてきた。
年齢・性別 9歳 / 女児
治療方針 第1期(混合歯列期)治療:元々上顎前歯の萌出障害があり、他医院で切開手術の既往あり。上下歯列の拡大により他の永久歯の萌出スペースを確保し、上顎前歯の捻転の改善を行うこととした。捻転歯は後戻りしやすいため長期の保定が必要。
抜歯部位 非抜歯
使用装置 クワドヘリックス、ユーティリティーアーチ、下顎拡大床装置
治療期間/リテーナー 1年/フィックスリテーナー
コメント 骨格的な問題がなく、アーチレングスディスクレパンシーもわずかだったため比較的簡単な治療だけで終了した。永久歯列完成時に前歯部にわずかな叢生があったが、本人保護者ともこれ以上の治療を望まなかった。
費用 390,000円(第1期治療のみ)

治療前

治療前

治療中

治療中 治療中 治療中 治療中

治療後

治療後

レントゲン

レントゲン レントゲン

リスク及び副作用

矯正治療では以下のリスクや副作用が考えられます。

  • 歯根吸収(歯の根が短くなる症状)
  • 歯肉退縮(歯茎が下がる症状)
  • アンキローシス(歯と歯を支える骨が癒着し歯が動かなくなる。)
  • 歯髄壊死(歯の神経が失活してしまう状態)
  • 顎関節症(顎の痛み)
  • 虫歯・歯周病(ブラッシングが不十分な場合)
  • 口内炎(唇、頬、舌の傷や痛み)

症例12 叢生・反対咬合・切端咬合(デコボコ・受け口・切端咬合)

主訴 下の歯が凸凹している
年齢・性別 8歳 / 男児
治療方針 第1期(混合歯列期)治療:上下歯列の拡大により永久歯の萌出スペースを確保し、上顎前歯のアライメントを行う。スペース不足が顕著なため第2期治療で抜歯になる可能性が高く、口呼吸と下顎の垂直方向への過成長の傾向があるため、反対咬合、開咬に注意が必要と思われた。
第2期(永久歯列期)口蓋側に萌出した第2小臼歯を抜歯し、マルチブラケット装置による叢生及び反対咬合の改善を行った。
抜歯部位 上顎第2小臼歯、下顎第1小臼歯
使用装置 第1期:①クワドヘリックス、下顎拡大床装置、前歯部にブラケット②上顎前方牽引装置
第2期:マルチブラケット装置
治療期間/リテーナー 第1期:6年(経過観察3年含む)
第2期:31か月/上下にインビジブルリテーナー
コメント 初診時はわずかな反対咬合だったが、思春期成長により下顎が前方に大きく成長し、永久歯列期後半に上顎前方牽引を行ったが前歯被蓋は改善できなかった。上下顎の奥行きが少ない骨格で、拡大を行ったがそれだけではスペース不足で上下顎とも抜歯が必要となった。第2期治療開始のタイミングは手根骨レントゲンを参考にした。
費用 390,000円(第1期治療)+455,000円(第2期治療)

治療前

治療前

治療中

治療中 治療中 治療中 治療中 治療中

治療後

治療後

レントゲン

レントゲン レントゲン レントゲン レントゲン

リスク及び副作用

矯正治療では以下のリスクや副作用が考えられます。

  • 歯根吸収(歯の根が短くなる症状)
  • 歯肉退縮(歯茎が下がる症状)
  • アンキローシス(歯と歯を支える骨が癒着し歯が動かなくなる。)
  • 歯髄壊死(歯の神経が失活してしまう状態)
  • 顎関節症(顎の痛み)
  • 虫歯・歯周病(ブラッシングが不十分な場合)
  • 口内炎(唇、頬、舌の傷や痛み)

症例13 開咬(前歯で噛めない)

主訴 前歯でものが噛めない。開咬
年齢・性別 8歳 / 女児
治療方針 第1期(混合歯列期)治療:舌癖の改善のため筋機能訓練を行い、上下歯列の拡大により永久歯の萌出スペースを確保したのち、開咬の改善を行う。
抜歯部位 上下左右小臼歯(術後第3大臼歯4本)
使用装置 第1期:①筋機能訓練、上下拡大床装置、ユーティリティーアーチ②パラタルアーチ、タングクリブ
第2期:マルチブラケット装置
治療期間/リテーナー 第1期:5年8か月(経過観察2年6か月含む)
第2期:28か月/上下顎インビジブルリテーナー
コメント 口呼吸があり舌癖の改善が困難だったため、第2期治療開始前にも筋機能訓練を行った。非抜歯でも治療可能と思われたが、側貌の口元突出感の改善の希望もあり抜歯治療となった。保定2年後のかみ合わせはややバイトが浅くなっている。
費用 420,000円(第1期治療)+455,000円(第2期治療)

治療前

治療前

治療中

治療中 治療中 治療中 治療中

治療後

治療後

治療後2年

治療後2年

レントゲン

レントゲン レントゲン レントゲン レントゲン

リスク及び副作用

矯正治療では以下のリスクや副作用が考えられます。

  • 歯根吸収(歯の根が短くなる症状)
  • 歯肉退縮(歯茎が下がる症状)
  • アンキローシス(歯と歯を支える骨が癒着し歯が動かなくなる。)
  • 歯髄壊死(歯の神経が失活してしまう状態)
  • 顎関節症(顎の痛み)
  • 虫歯・歯周病(ブラッシングが不十分な場合)
  • 口内炎(唇、頬、舌の傷や痛み)
無料初診相談の詳しい内容
無料初診相談のご予約
インターネットでのご予約
初診相談

治療費について

よくある質問

リンク

ページの先頭に戻るページの先頭に戻る
サイトマップ