同じような症状でもすべての方が同じ治療結果になるわけではありません。又、歯根の長さや骨の硬さ、噛み合わせの強さなど、歯の動き方を決定する要素は多岐にわたるため、治療期間には個人差があります。
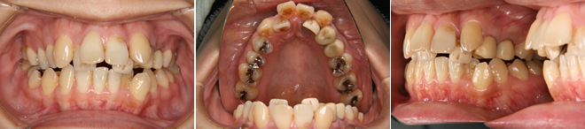
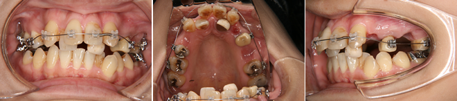
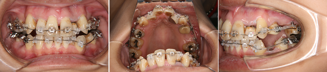
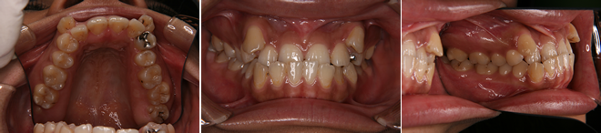
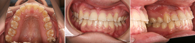
| 主訴 | 前歯が出ている |
|---|---|
| 年齢・性別 | 35歳 / 女性 |
| 治療方針 | 叢生も前歯の突出も大きいケース。小臼歯抜歯だけでは改善できないため、大臼歯の抜歯も行なった。 |
| 抜歯部位 | 上下顎左右小臼歯、左上第1大臼歯(計5本) |
| 使用装置 | マルチブラケット装置 |
| 治療期間 | 36か月 |
| リテーナー | 上顎インビジブル、フィックス、下顎インビジブル |
| 費用 | 885,000円(税別) |




矯正治療では以下のリスクや副作用が考えられます。
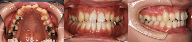
| 主訴 | 前歯の隙間が気になる |
|---|---|
| 年齢・性別 | 42歳 / 女性 |
| 治療方針 | 咬合力により上顎前歯が前方に傾斜したと思われるケース。元に戻りやすいため過蓋咬合をしっかり治して、保定には固定式のリテーナーも併用する。 |
| 抜歯部位 | 非抜歯 |
| 使用装置 | マルチブラケット装置 |
| 治療期間 | 16か月 |
| リテーナー | 上顎インビジブル、フィックス、下顎インビジブル |
| 費用 | 765,000円(税別) |




矯正治療では以下のリスクや副作用が考えられます。
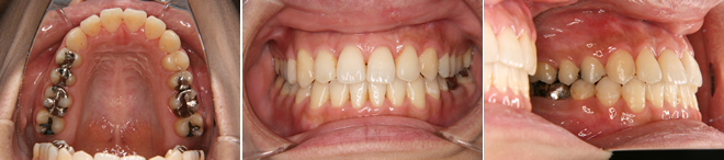
| 主訴 | 噛み合わせが逆、八重歯 |
|---|---|
| 年齢・性別 | 20歳 / 女性 |
| 治療方針 | オトガイの突出感が強く、顔貌改善には外科矯正が適応と考えられたが本人が希望しなかったため、マルチブラケット装置のみで治療を行った。 |
| 抜歯部位 | 上下顎左右小臼歯(計4本) 治療後に下顎左右第3大臼歯(親知らず) |
| 使用装置 | マルチブラケット装置 |
| 治療期間 | 27か月 |
| リテーナー | 上顎インビジブル、下顎スプリングリテーナー |
| 費用 | 825,000円(税別) |




矯正治療では以下のリスクや副作用が考えられます。
| 主訴 | 前歯のデコボコが気になる |
|---|---|
| 年齢・性別 | 36歳 / 女性 |
| 治療方針 | 前歯部に叢生がある切端咬合に近い軽度の反対咬合。骨格的には下顎前突。上顎の拡大により被蓋と叢生の改善を行った。 |
| 抜歯部位 | 下顎左右第3大臼歯(親知らず) |
| 使用装置 | マルチブラケット装置 |
| 治療期間 | 17か月 |
| リテーナー | 上顎インビジブル、下顎インビジブル |
| 費用 | 765,000円(税別) |



矯正治療では以下のリスクや副作用が考えられます。
| 主訴 | 前歯が出ている |
|---|---|
| 年齢・性別 | 14歳 / 女性 |
| 治療方針 | 下顎の後退感が強い上顎前突。上顎片顎抜歯で対応。 |
| 抜歯部位 | 上顎左右小臼歯 |
| 使用装置 | パラタルアーチ、マルチブラケット装置 |
| 治療期間 | 23か月 |
| リテーナー | 上顎インビジブル、下顎スプリングリテーナー |
| 費用 | 825,000円(税別) |


矯正治療では以下のリスクや副作用が考えられます。
| 主訴 | 上の前歯が出ている、下の前歯がデコボコ |
|---|---|
| 年齢・性別 | 26歳 / 女性 |
| 治療方針 | 顎関節に少し問題があるAngleⅠ級上下顎前突。患者の希望もあり、できるだけ前歯を後退して口元の突出感の改善を行う。 |
| 抜歯部位 | 小臼歯4本抜歯 |
| 使用装置 | ホールディングアーチ、マルチブラケット装置 |
| 治療期間 | 26か月 |
| リテーナー | 上顎インビジブル、下顎スプリングリテーナー |
| 費用 | 825,000円(税別) |



矯正治療では以下のリスクや副作用が考えられます。
| 主訴 | 噛み合わせが逆、八重歯 |
|---|---|
| 年齢・性別 | 20歳 / 女性 |
| 治療方針 | オトガイの突出感が強く、前歯だけでなく臼歯部も反対咬合。低位舌が認められる。顔貌改善には外科矯正が適応と考えられたが本人が希望しなかったため、MFTを行ったのち上顎拡大、上下マルチブラケット装置のみで治療を行った。左上中切歯に打撲の既往あり。 |
| 抜歯部位 | 上下顎左右第3大臼歯(計4本) |
| 使用装置 | クウォードヘリックス、マルチブラケット装置 |
| 治療期間 | 25か月 |
| リテーナー | 上顎インビジブル、下顎スプリングリテーナー |
| 費用 | 825,000円(税別) |



矯正治療では以下のリスクや副作用が考えられます。
| 主訴 | 前歯の突出が気になる |
|---|---|
| 年齢・性別 | 28歳 / 男性 |
| 治療方針 | 上顎前突及び過蓋咬合。下顎の後退感が顕著なため、口元の突出感が目立つ。下顎前歯の1歯欠損と左側大臼歯に鋏状咬合がある。完全に突出感を改善するのは困難と思われるが、できる限り上顎前歯を後退させる。 ※治療後オトガイ部の緊張がとれて、プロファイルはある程度改善できた。 |
| 抜歯部位 | 上顎左右第1小臼歯、下顎前歯、左右第3大臼歯(親知らず) |
| 使用装置 | 歯科矯正用アンカースクリュー、マルチブラケット装置 |
| 治療期間 | 38か月 |
| リテーナー | 上顎インビジブル、下顎インビジブル |
| 費用 | 840,000円(税別) |




矯正治療では以下のリスクや副作用が考えられます。
| 主訴 | 上顎前歯のデコボコ、下顎犬歯の突出が気になる |
|---|---|
| 年齢・性別 | 26歳 / 女性 |
| 治療方針 | 上顎前歯部に叢生と下顎犬歯の近心傾斜があるⅠ級叢生。口元の突出感の改善を希望しているため小臼歯の抜歯を行う |
| 抜歯部位 | 小臼歯4本抜歯 |
| 使用装置 | マルチブラケット装置 |
| 治療期間 | 28か月 |
| リテーナー | 上顎インビジブル、下顎インビジブル |
| 費用 | 825,000円(税別) |



矯正治療では以下のリスクや副作用が考えられます。
| 主訴 | 受け口 |
|---|---|
| 年齢・性別 | 30歳 / 女性 |
| 治療方針 | 上顎中切歯の翼状捻転と左側前歯部のみの反対咬合だが、骨格的下顎前突。患者の希望により裏側矯正(ハーフリンガル)による治療を行った。 |
| 抜歯部位 | 下顎左右第3大臼歯(親知らず) |
| 使用装置 | クウォードヘリックス、ハーフリンガルマルチブラケット装置(上リンガル、下ラビアル) |
| 治療期間 | 38か月(途中8か月未来院期間あり) |
| リテーナー | 上顎フィックス、インビジブル、下顎インビジブル |
| 費用 | 1,180,000円(税別) |

矯正治療では以下のリスクや副作用が考えられます。
| 主訴 | 上の前歯が出ている、下の前歯がでこぼこ |
|---|---|
| 年齢・性別 | 20歳 / 女性 |
| 治療方針 | 上下顎前歯部に叢生があり、オーバージェットが大きい上顎前突。下顎の時計回りの回転が著しく下顎の後退感が強い。プロファイルの改善は困難が予想される。 |
| 抜歯部位 | 小臼歯4本抜歯 |
| 使用装置 | マルチブラケット装置、トランスパラタルアーチ、歯科矯正用アンカースクリュー |
| 治療期間 | 34か月 |
| リテーナー | 上顎インビジブル、下顎スプリングリテーナー |
| 費用 | 885,000円(税別) |




矯正治療では以下のリスクや副作用が考えられます。
| 主訴 | 上の前歯が出ている、下の前歯がでこぼこ |
|---|---|
| 年齢・性別 | 24歳 / 女性 |
| 治療方針 | オーバージェットはあまり大きくないが、下顎の時計回りの回転が強く、上下の前歯が唇側傾斜している。舌癖による開咬と上下顎前突のため、MFTから治療を開始した。 ※来院間隔が空いてしまう方で、エラスティックの使用も悪かったため治療期間が延びてしまった。 |
| 抜歯部位 | 小臼歯4本抜歯 |
| 使用装置 | マルチブラケット装置(上リンガル、下ラビアル) |
| 治療期間 | 40か月(途中10か月未来院期間あり) |
| リテーナー | 上顎インビジブル、下顎インビジブル |
| 費用 | 1,240,000円(税別) |


矯正治療では以下のリスクや副作用が考えられます。
| 主訴 | 受け口、歯が埋まっている |
|---|---|
| 年齢・性別 | 16歳 / 女性 |
| 治療方針 | 問題点が多数ある難症例。右上犬歯の埋伏により側切歯の歯根が吸収している。側切歯を抜歯して同部に犬歯を牽引し、反対側小臼歯を抜歯して正中線を一致させる。又、骨格性の下顎前突で下顎の左方変位も認められるため、顔貌改善のための外科矯正についても説明したが、本人、家族とも希望しなかった。 |
| 抜歯部位 | 側切歯1本小臼歯3本抜歯 |
| 使用装置 | マルチブラケット装置 |
| 治療期間 | 38か月 |
| リテーナー | 上顎インビジブル、下顎インビジブル |
| 費用 | 885,000円(税別) |



矯正治療では以下のリスクや副作用が考えられます。
| 主訴 | 八重歯の歯肉退縮 |
|---|---|
| 年齢・性別 | 33歳 / 女性 |
| 治療方針 | AngleⅡ級2類の過蓋咬合。主訴の改善を第1に考え、通常あまり行わない犬歯の抜歯で対応した。 |
| 抜歯部位 | 上顎左右犬歯 |
| 使用装置 | エッジワイズ装置 |
| 治療期間 | 24か月 |
| リテーナー | 上顎インビジブル、下顎スプリングリテーナー |
| 費用 | 825,000円(税別) |


矯正治療では以下のリスクや副作用が考えられます。
| 主訴 | 上の前歯が出ている、上下の歯がかみ合わない |
|---|---|
| 年齢・性別 | 44歳 / 男性 |
| 治療方針 | AngleⅡ級1類、過蓋咬合上下顎前突。歯列幅径が狭くオーバージェットがかなり大きいため小臼歯抜歯だけでは改善困難と判断。上顎歯列の拡大後に上顎片顎抜歯で治療を行った。 <コメント>リテーナーの使用状況はよかったが、咬合力が強いためか術後2年ではややバイトが深くなっている。 |
| 抜歯部位 | 上顎左右小臼歯抜歯 |
| 使用装置 | クウォードヘリックス、エッジワイズ装置 |
| 治療期間 | 30か月 |
| リテーナー | 上顎インビジブル、下顎スプリングリテーナー |
| 費用 | 885,000円(税別) |


矯正治療では以下のリスクや副作用が考えられます。